앞니 크라운 : 수직 고경을 올려야 되는 케이스 Ft. 경제적인 치료방법
안녕하세요, 바라봄치과 의사 강병민입니다.
오늘 들려드릴 소식은 수직고경과 관련되어 있습니다.
치아는 인체에서 매우 단단한 곳으로 꼽힙니다.
이렇게 강도가 세다 하더라도 지속해서 센 힘이 가해지게 되면 어쩔 수 없이 손상을 받습니다.
성인 남자의 교합력은 최대 70kg에 달한다고 하는데 매일 먹고 말하면서 치아에 큰 힘이 전달됩니다.
오랜 세월을 거쳐 받아온 힘으로 인하여 자연적으로 마모/교모되는데,
만약 이갈이나 이악물기 등 악습관을 갖고 있다면 그 양상이 훨씬 더 뚜렷해집니다.
오랜 기간 악습관이 잔존할 경우, 어떤 문제로 이어질 수 있는지
관련된 케이스를 하나 준비해봤습니다.
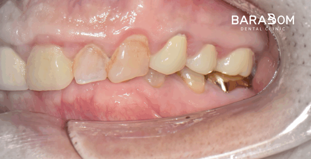
1. 초진 단계

준비한 사진을 보시면, 윗니가 아랫니를 일절 다 덮을 정도로 깊게 물리고 있습니다.
더불어 교합력이 센 탓에 교모가 꽤 심하게 진행되었습니다.


이런 경우, 제가 준비한 케이스처럼 수직 고경이 상실될 수 있습니다.
수직 고경(VD:Vertical Dimension)란 코끝과 턱끝까지의 거리를 일컫는 말로 크게 교합 수직 고경과 안정위 수직고경으로 나누어집니다. 만약 수직고경이 낮아지게 되면 심미적인 문제를 야가할 뿐만 아니라 저작근의 과수축이나 과두의 후방변위 등으로 이어질 수 있습니다. 반대로 수직고경이 과도하게 높아 안정위의 악간공극을 침해하게 된다면 근육 피로, 빠른 골흡수, 발음 중 조기접촉, 이 악물기 등의 문제를 야기하게 되죠.
그래서 알맞은 수직고경을 유지하는 것이 중요합니다. 오늘은 준비한 자료를 보면서 낮아진 수직고경을 되살리는 치료 과정에 대한 정보를 공유해 보겠습니다.

대개 교모로 인하여 수직 고경이 상실된 케이스를 보면 치관의 길이가 매우 짧습니다. 이런 상태에서 크라운을 씌우게 되면 당연히 안정을 얻기 어렵습니다.

그럼 자주 보철이 탈락하게 되어 불편으로 이어질 수 밖에 없는데, 현재 하악 앞니 뿐만 아니라 어금니도 치아 머리의 길이가 짧은 상태였습니다. 하악 절치부 치관 길이가 매우 짧으며, 상악 절치 구개부와 간격이 불과 2mm 이내였습니다. 현재 상태로써 새로운 보철을 제작하긴 어렵다 판단되고 있습니다.
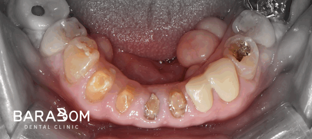
짧아진 교합 고경을 새로 만들기 위해서는 위아래쪽 어금니에 새로운 보철을 만들어 씌우는 과정이 필요합니다. 그런데 그 과정이 여간 쉬운게 아니며, 경제적인 측면에서 부담이 되기 때문에 닳아서 자주 탈락하는 아래쪽 앞니 부분과 유난히 치관의 길이가 짧은 하악 구치부에만 새로 보철을 제작하여 수복해줌으로써 교합 거상을 진행하는 치료 계획을 세워볼 수 있습니다.
제가 준비한 케이스의 경우에는 양측 첫번째 작은 어금니에는 크라운이 아닌 레진이라는 재료로 수복하는 것만으로도 충분하다 생각되었습니다. #34,44를 제외한 어금니는 크라운 교체를 진행하고 양측 제1소구치에는 레진 수복해줌으로써 보다 경제적으로 치료를 진행해볼 수 있습니다.
2. 진료 과정

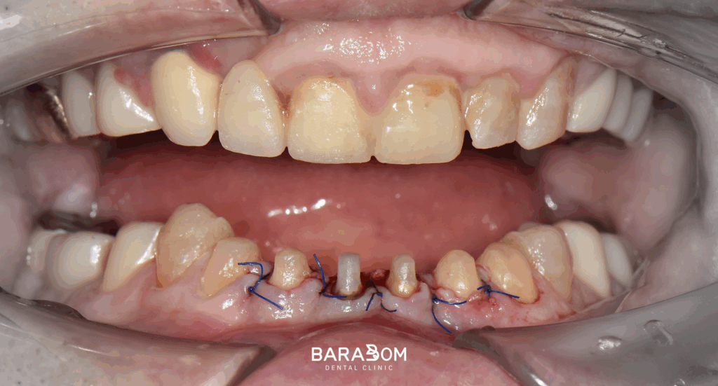
앞서 설명드린 것처럼 교합고경을 재건할 때, 여러 사항을 고려하여 신중을 기여해야 됩니다. 하악 구치부 크라운 수복을 진행한 결과, 앞니쪽에 3mm 가량의 공간이 형성되었습니다.
보철이 올라갈 여유가 확보되긴 했으나 그 정도가 충분한 건 아니라 골 삭제를 동반한 치관연장술을 함께 진행하는 방향을 택해볼 수 있습니다. 말 그대로 잇몸뼈를 어느 정도 삭제해줌으로써 치아 머리의 길이를 늘려주는 술식을 말합니다.


이때는 이 시림이나 민감한 증상이 나타나지 않을 정도에 한하여 삭제 과정이 이뤄져야 됩니다.
전/후 사진을 보시면 확실히 앞니의 치아 머리 부분이 연장되면서 크라운이 올라갈 공간이 확보된 모습이 관찰되고 있습니다.

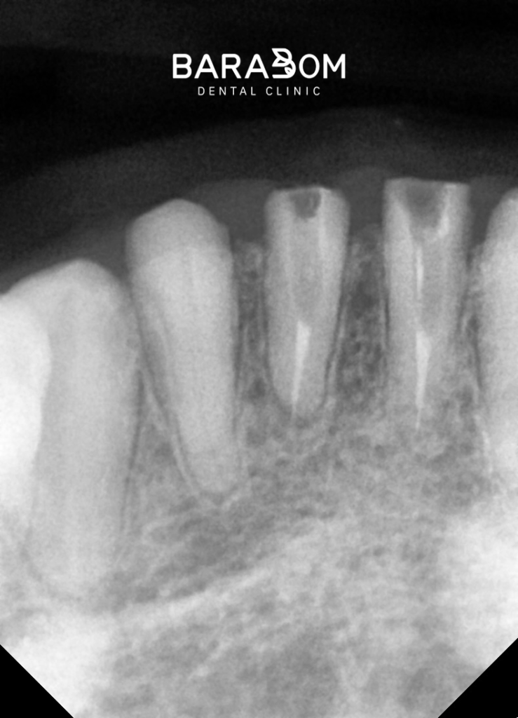
골 삭제와 더불어 포스트를 세워줌으로써 충분한 강도를 되찾아줌과 동시에 코어를 수복하여 길이를 확보하여 지대치 형성이 마무리되었습니다.

지대치 형성이 끝난 후, 정밀하게 본을 떠 기공 작업에 들어갑니다. 앞니 교합 관계를 고려하여 완성된 앞니 크라운이 완성되면 시적한 후 필요시 수정작업을 진행하고 접착제로 붙여주게 됩니다.
3. 치료 종결



오늘은 제가 준비한 케이스를 보면서 수직고경을 왜 올려야 되는지 관련된 정보를 공유해봤습니다. 치아에 씌워놓은 보철이 자주 탈락하거나 음식이 유난히 자주 낀다면, 어딘가 문제가 생겨났다는 의미일 수 있습니다.
이럴 때 단순히 보철을 수정하거나 바꾸는 것이 아니라 본질적인 문제를 개선해주는 과정이 동반되어야 됩니다.

그래야 탈락하는 문제를 제대로 개선해줄 수 있습니다.
오늘 제가 준비한 소식은 여기까지 입니다. 도움이 되는 정보 얻어가셨길 바라며 글 마치겠습니다.
지금까지 바라봄치과 의사 강병민이었습니다, 감사합니다.

치료 기간 : 2025.03.05 ~ 2025.10.02

