구리 교정치과 얼굴 좌우비대칭 양악 수술 대신 비발치 치료 Feat. 2급 고무줄
안녕하세요, 강병민입니다.
어렸을 적 미술시간에
한 번쯤은 캐릭터를 그려봤을 겁니다.
저는 그때 조금만 대칭이 다르면
신경이 쓰였는데요,
여러분은 어땠나요?
아마 다들 비슷했을 거라
생각되는데요,
내 얼굴의 좌우 대칭이
다르다면 어떨까요?
저라면 외모 콤플렉스가
자리 잡을 것 같습니다.
오늘 들려드릴 이야기는
교정으로 안모의 대칭을 맞추는 과정입니다.
먼저 관련 사진을 하나 보도록 하겠습니다.

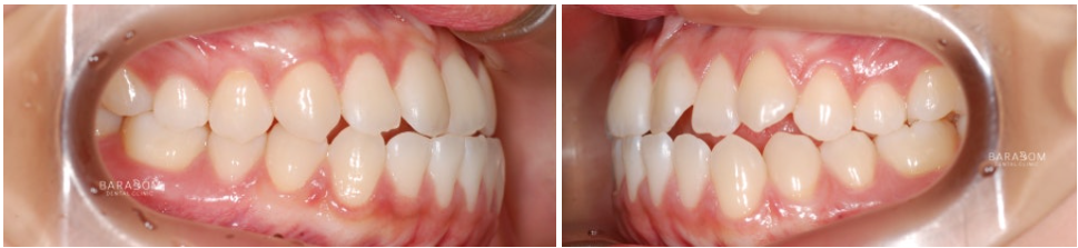
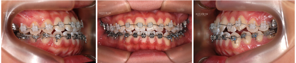
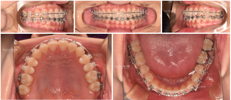
안모의 문제뿐만 아니라
부정교합도 함께 관찰됩니다.
안모와 동일하게 좌우
다른 문제를 가지고 있죠.
1️⃣좌측은 일부 치아가
거꾸로 물리는 반대교합 양상이
확인됩니다.
이런 경우 불안정한 힘이
치아에 가해져 파절로
이어질 수 있습니다.

2️⃣우측은 앞니의 끝부분 즉 절단연끼리
맞물리고 있는데요,
이를 절단 교합이라 부릅니다.
이렇게 맞물리는 양상 역시
힘을 고르게 분산시키기 어려워
절단연 파절로 이어질 수 있으며
턱관절에 안정을 찾기 어렵고
과도한 긴장 상태를 유지하게 됩니다.

윗니가 아랫니를 덮는 것이
정상적인데, 이 경우
정반대로 아래가 위를 덮는 듯한
모습이 관찰됩니다.

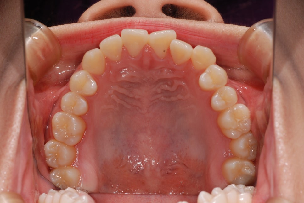
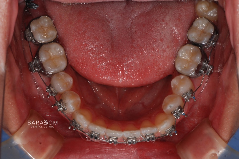
✅더불어 구치부의 맞물림 역시
올바르지 못한데요,
윗턱 성장 부전이 있어
골격성 3급으로 진단됩니다.
더불어 아랫턱이 좌측으로 변위되며
비대칭을 이루고 있습니다.


또한 작은 위턱으로 인해
위 앞니의 위치 자체가
아래 앞니 보다 뒤에 위치하게 되는데,
이를 보상하기 위해 앞니들이
순측경사(앞으로 뻐드러짐)되어 있습니다.


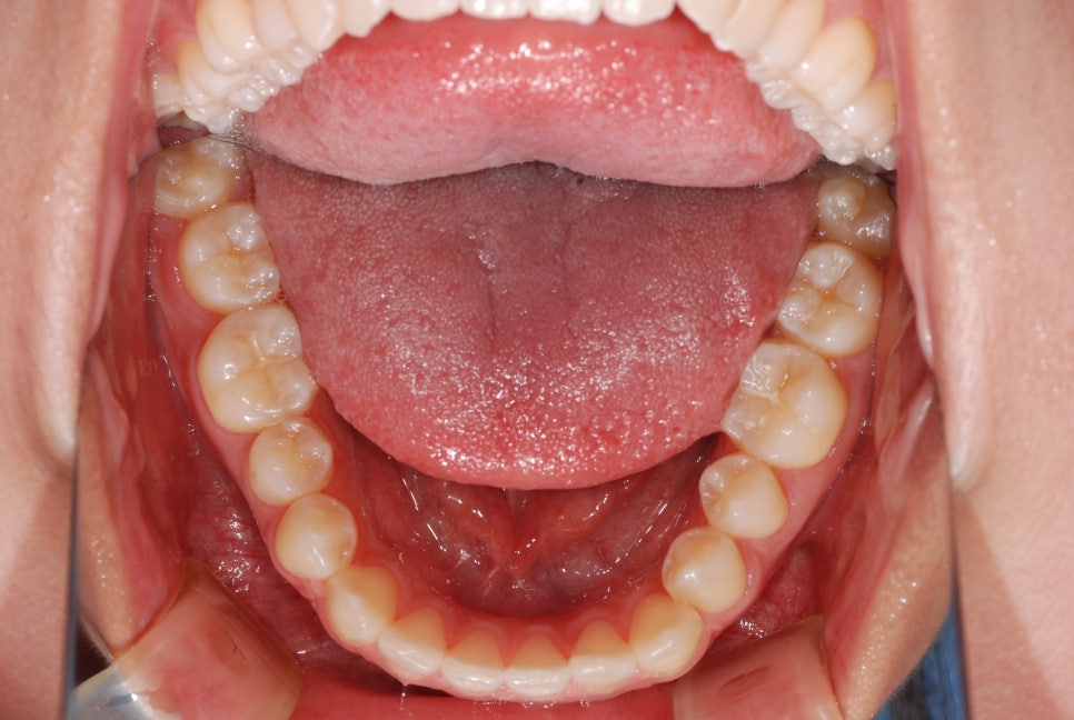
👀웃었을 때 치아와 잇몸이
거의 드러나지 않아
부자연스럽다는 느낌이 들며,
좌우가 달라 어색한 느낌이
강하게 들고 있습니다.

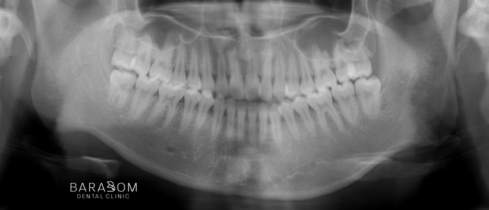
엑스레이 사진을 통해
4군데 모두 사랑니가 있는 것이
확인되는데요,
아랫턱 전체 치열을 후방으로
이동하기 위해서는 발치가 필요합니다.
그래야 뒤로 움직일 수 있는
공간이 충분히 확보됩니다.



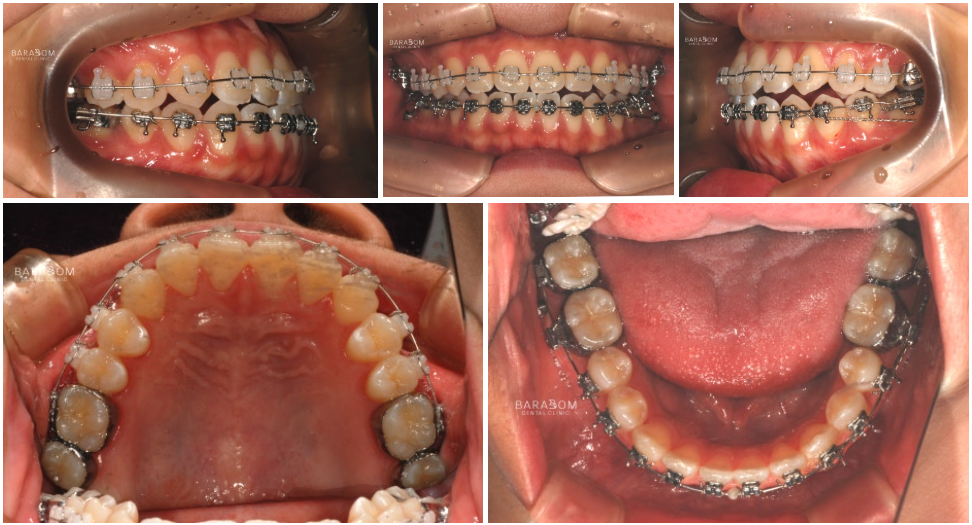
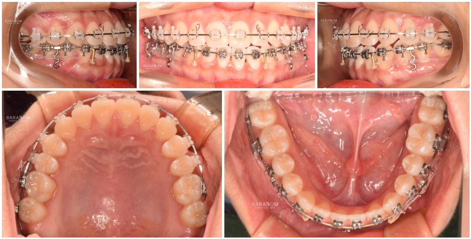
장치(브라켓)를 달고
변위된 치아를 제 자리로 이동시킴과 동시에
아랫치열을 후방으로 밀기 시작합니다.
그래야 안정적인 교합을
유도할 수 있기 때문이죠.


아랫 치열을 당기는 힘을
조절하기 위해서 스프링을 사용합니다.
✔동시에 어금니는 정출 즉,
위로 올라오도록 유도하고
아래턱은 시계방향으로 회전하여
전치부의 정상적인 맞물림을 위해
윗쪽 앞니의 정출을 유도합니다.

더불어 미니 임플란트를 활용하여
아래 치열의 후방 이동을
더욱 확실하게 유도합니다.

이와 더불어 3급 부정교합임에도 2급 고무줄을 활용하여 긍정적인 변화를 유도합니다.
고무줄의 탄성을 이용해
적절한 위치로 배열을 도모하는
방법을 사용하는 것입니다.
윗니는 뒤로 보내면서
아래 치아를 앞으로 당기며
교합을 조절하는 과정에서
탄성을 활용합니다.
어떤 위치에 걸어주느냐에 따라
유도하는 방향이 달라지는데요,
✅대개 2급 환자에게 시행되지만
이 경우 맞물림을 시계방향으로
회전하는 과정이 필요하여 적용하는 것입니다.
입술(순측)으로 경사를 이루던 앞니를
설측(혀)가 있는 쪽으로 기울어지게 유도하고,
이와 더불어 씹는면 쪽으로 정출되도록
움직임을 만들어냅니다.
이 과정은 정말 세밀한 조절이 필요합니다.
그렇기에 사전 진단과 계획이
확실하지 않는다면
부작용으로 이어질 수 있죠.
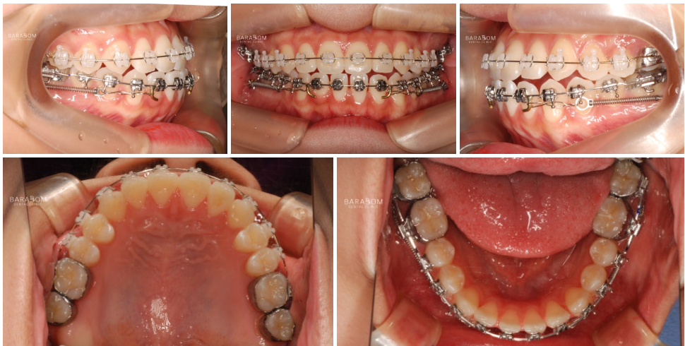
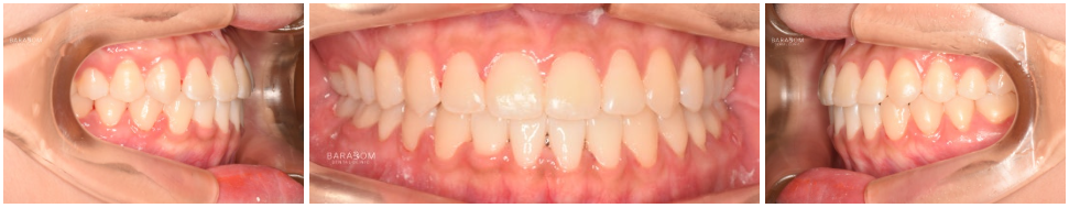
| 종결

치료를 받은 지 17개월 가량이 지난 후 모습입니다.
1️⃣반대 및 절단 교합 양상이
모두 해소되었으며,
2️⃣골격적인 문제의 한계를 넘어
아랫턱과 윗턱이 조화를
이루는 모습이 관찰됩니다.

또한 윗니가 아랫니를 덮으며
정상적인 피개량을 가지고 있는데요,


하악 전체 치열 후방 이동과
상악 앞니의 정출을 통해
교합의 안정과 함께
심미를 되찾은 모습입니다.




